• HS-17, Kailash Colony Market, Greater Kailash-1, New Delhi.

logo

logo

NABH Accredited
Dental Centre

logo


Empanelment Under :

CGHS
(Central Government Health Scheme)
ECHS
(Ex-Servicemen Contributory Health Scheme)
image

Open hours

We are open seven day 10Am to 8PM

Make an appointment

Online doctor appointment system

image

Best Dental Clinic In Delhi

Contact Us
Fill the form & get an

instant call back in 15 mins

Or call +91 6262640403

Welcome To
FORTINO DENTAL Dentist in Delhi

Why Choose Fortino Dental Centre?

FORTINO DENTAL- Is a Multi speciality Dental Center based in Delhi.
Why to visit-:

  • It is Government Accredited Dental Clinic (NABH). If you are looking for Best Dentist in Delhi and most hygienic dental clinic.
  • Affordable price.
  • It is a I.S.O(International Organization for Standardization) Certified Dental Centre.
  • Our team of Dentist in South Delhi located in Greater Kailash , Kailash Colony , New Delhi are ranked as Best Dentist in India.
  • Well experienced and Best Dentists . Senior Consultants Practicing since 1988.

At Fortino Dental it’s our fundamental belief that all patients, whatever their circumstances and needs are treated to the highest possible standards to enable us to


image

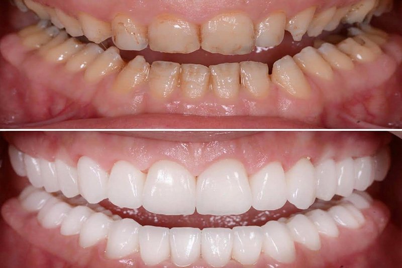
Our Work






DENTIST IN SOUTH DELHI

FORTINO DENTAL

Who We Are?

Fortino dental is an international dental and healthcare clinic. From decades our specialists are providing advanced solution and treatments that you require, from a simple oral health examination to the most complex restorative and cosmetic dentistry. We offer conservative dental care from some of the best dentist in India.

image

Portfolio

image

Best Dental Clinic In Delhi

Contact Us
Fill the form & get an

instant call back in 15 mins

Or call +91 6262640403

Fortino Dental


Check our latest updates

image

Instagram

image

Facebook